35岁的谢先生身体壮实,然而近半年来却不明原因反复咳嗽,转辗多地求医均以肺部炎症作为“终审结果”。抗生素等系列消炎药除了“口服”还有“吊瓶”,症状始终不减还日渐加重,痛苦不堪。
近日听亲友介绍“江门市中西医结合肺病研究所”挂牌于市五邑中医院,谢先生抱着半年多来的求医病历、一大叠X光片及一堆未服完的药物来到该院求医。
接诊的该院肺病一区副主任医师彭景钦检查后发现,谢先生右肺存在大片炎症,建议即刻办理住院手续作进一步的检查诊治。

(门诊胸片显示右下肺大片密影)
谢先生入住市五邑中医院肺病科一区后,主诊医生彭景钦副主任医师随即为其安排了一次“绿色通道”检查。通过该院清晰度极高的宝石CT扫描肺部,结果惊讶地发现谢先生的右肺在大片炎症“掩盖下”隐藏着一小块硬度很高的病灶, 彭景钦副主任医师瞬即将“新发现”向科主任范发才作了汇报。

(胸部CT重建显示右下肺支气管内高密度异物)
该院肺病科学科带头人范发才主任及时介入了解病情,详细阅读了CT片,判断谢先生的病情诱因实为异物误吸进入右肺支气管所致。尽管距离下班不足半小时,范发才主任仍当机立断指挥所属科室专家团队各就各位为谢先生施行支气管镜下行异物钳取术投入准备,力争早一秒解除患者痛苦。

(胸部CT显示右下肺支气管内高密度异物,右下肺阻塞性肺炎并脓肿形成)

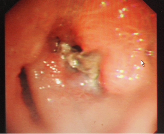
(电子支气管镜下见异物嵌塞,肉芽生长包绕异物)
一切准备在下班的钟声响过后有序进行,纤支镜室护士把刚刚看完病仍发烧的女儿安顿在儿科急诊室输液,毫无怨言加入加班工作。范发才主任把饥肠辘辘的女儿安置在自己办公室后又亲临现场指导术前准备工作。在大家的齐心协力下,谢先生被送入了该院电子支气管镜室。

(专家团队通过电子支气管镜下介入术,利用异物钳成功抓取异物)
由于异物停留时间长达半年,范发才主任透过纤支镜发现,谢先生的气管已扭曲变形,肉芽生长包绕着异物,异物钳取难度非常大。但大家并没有气馁,凭着过硬的专业技术紧紧夹住异物一毫米一毫米往外带离气管,在大家期待的目光中,停留半年之久的“不规则硬骨头”终于脱离谢先生体内。当晚,谢先生的咳嗽症状明显改善,安睡了一个晚上。

(镜下钳出的不规则骨块)
彭景钦副主任医师介绍说:呼吸道异物多发生于儿童,其中80%以上发生在5岁以下。老年人以及醉酒、昏迷、麻醉等情况下由于咽反射迟钝,亦易发生误吸。大多的异物种类中,以西瓜子、葵花子、花生米、骨头碎片为最多。其他也有钱币、瓶盖、滚珠、铁钉、针头、别针、气门芯帽、圆珠笔帽之类。
彭景钦副主任医师提醒说,当异物较大堵塞喉、气管时,可有惊恐、憋气、面色苍白或青紫、呼吸困难、甚至窒息而死亡。异物较小进入气管后,有可能出现长期咳嗽、发热等症状;有部分患者异物史不明确,而导致肺炎、肺不张、肺气肿等症状并久治不愈。有的服用抗菌素治疗一段时间好转了,但停药后又反复发作,甚至出现肺脓肿、脓胸等。谢先生就属于这一类情况。
彭景钦副主任医师介绍说,对于谢先生这一类的患者,采取支气管镜下异物钳取术是一种非常快速、安全、有效而又无创伤的内镜治疗方法。除此之外,在支气管镜下还可进行肺泡灌洗、局部药物治疗、纵膈以及肺门淋巴结针吸活检等呼吸内镜介入诊疗。
